
อย่าปล่อยให้ "หินปูน" ยึดปาก! ภัยเงียบทำฟันโยก-เหงือกร่น
อย่าปล่อยให้ "หินปูน" ยึดปาก! ภัยเงียบทำฟันโยก-เหงือกร่น เผยความจริง "ขูดหินปูน" ไม่ได้ทำให้ฟันห่างอย่างที่คิด!
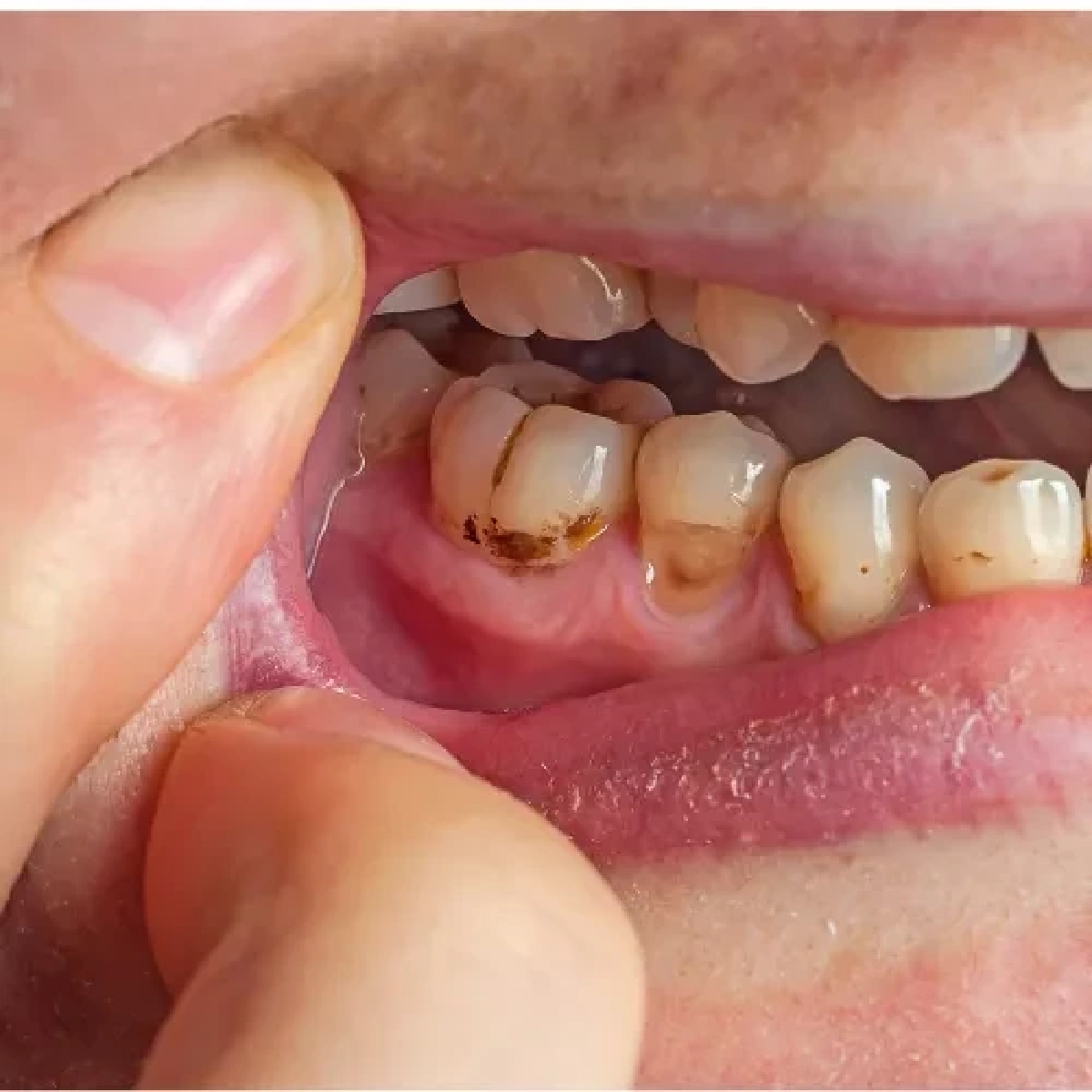
เรื่องฟันไม่ใช่เรื่องเล่น! เช็กสัญญาณเตือน "หินน้ำลาย" ตัวการร้ายทำลายรอยยิ้ม สะสมนานทำเหงือกอักเสบ-กลิ่นปากพุ่ง เผยเคล็ดลับดูแลช่องปากให้เป๊ะ พร้อมเคลียร์ชัดทุกความเข้าใจผิดเรื่องการขูดหินปูนที่สายรักสุขภาพต้องรู้ หลายคนอาจมองข้าม "คราบจุลินทรีย์" หรือขี้ฟันนิ่มๆ ที่เกาะตามผิวฟัน แต่รู้หรือไม่ว่าหากปล่อยไว้เพียงไม่กี่วัน แร่ธาตุในน้ำลายจะเข้าไปสะสมจนคราบนั้นแข็งตัวกลายเป็น "หินปูน" หรือ "หินน้ำลาย" ซึ่งไม่สามารถแปรงออกได้เองอีกต่อไป!
เมื่อหินปูนสะสมมากขึ้น มันจะเป็นแหล่งผลิตสารพิษและกรดที่เข้าไปทำลายเหงือกและกระดูกรองรับรากฟัน นำมาสู่ปัญหาสุขภาพที่คาดไม่ถึง
- เลือดออกขณะแปรงฟัน (สัญญาณแรกของเหงือกอักเสบ)
- กลิ่นปากไม่พึงประสงค์ เสียบุคลิกภาพ
- ฟันเหลือง มีคราบฝังลึก
- โรคปริทันต์ กระดูกละลาย จนฟันโยกและสูญเสียฟันในที่สุด
เคลียร์ชัด! 2 ความเข้าใจผิดเรื่องการ "ขูดหินปูน"
- ❌ ความเชื่อที่ 1: ขูดหินปูนแล้วฟันจะห่าง?
- ✅ ความจริง: การขูดหินปูนไม่ได้ทำให้ฟันห่าง แต่ที่เห็นช่องว่างชัดขึ้นหลังขูด เพราะหินปูนที่เคยเกาะหนาจนเบียดเหงือกจนร่นได้ถูกกำจัดออกไป ช่องว่างที่เห็นคือร่องรอยที่หินปูนทำลายไว้ ยิ่งไม่ขูด...ฟันยิ่งห่างและหลุดง่ายขึ้น!
- ❌ ความเชื่อที่ 2: เครื่องมือขูดจะทำลายเนื้อฟัน?
- ✅ ความจริง: ทันตแพทย์ใช้เครื่องมือสั่นสะเทือนเพื่อ "กระเทาะ" หินปูนให้หลุดออก ไม่ได้ขูดเนื้อฟันออกแต่อย่างใด จึงปลอดภัยต่อเคลือบฟันแน่นอน
ขูดบ่อยแค่ไหนถึงจะดี?
- คนทั่วไป: ควรพบทันตแพทย์เพื่อขูดหินปูนทุก 6 เดือน
- ผู้ที่มีปัญหาเหงือก/ร่องลึกปริทันต์: ควรขูดทุก 3-4 เดือน เพื่อควบคุมเชื้อโรคอย่างใกล้ชิด
5 ทริคดูแลฟันให้แข็งแรงฉบับ "คมชัดลึก"
- แปรงฟันสูตร 2-2-2: แปรงอย่างน้อยวันละ 2 ครั้ง แปรงนาน 2 นาที และไม่กินอะไรหลังแปรง 2 ชั่วโมง
- บ้วนปากหลังมื้อเที่ยง: หากไม่สะดวกแปรงฟันระหว่างวัน ให้บ้วนน้ำ 2-3 ครั้งเพื่อลดเศษอาหาร
- เลี่ยงหวานระหว่างมื้อ: น้ำตาลคืออาหารชั้นเลิศของแบคทีเรีย
- ใช้ไหมขัดฟัน: เพราะแปรงฟันอย่างเดียวเข้าไม่ถึงซอกฟันที่หินปูนชอบอยู่
- Check-up ปีละ 2 ครั้ง: พบทันตแพทย์เป็นประจำเพื่อตัดไฟตั้งแต่ต้นลม



