
ช็อกสาว "ลดน้ำหนัก" ด้วยวิธีพิศดาร สุดท้ายกลายเป็นเรื่องใหญ่เกือบขิต
ช็อกสาวอยาก "ลดน้ำหนัก" จนใช้วิธีสุดแปลกด้วยการกินสิ่งนี้เข้าไป สุดท้ายกลายเป็นเรื่องใหญ่เกือบสู่ขิต เพจดังแชร์อย่าหาทำอันตรายเสี่ยงแทรกตามร่างกาย
เฟซบุ๊ก หมอแล็บแพนด้า ได้แชร์เรื่องราวสุดแปลกเมื่อสาวรายหนึ่งอยาก "ลดน้ำหนัก" จึงใช้วิธีสุดแปลก เพื่อให้น้ำหนักตัวลดลงอย่างรวดเร็ว แต่วิธี "ลดน้ำหนัก" ของเธอนั้นช่างแปลก และเป็นอันตรายต่อร่างกายเอามาก ๆ โดย หมอแล็บ ได้โพสต์ภาพฟิล์มเอกซเรย์ของผู้ป่วยหญิงสาวคนหนึ่ง หลังกิน พยาธิตืดวัว เข้าไปเพราะหวังจะช่วย "ลดน้ำหนัก" ปรากฎว่าอันตรายอย่างมาก โดยในภาพที่หมอแล็บโพสต์ มีข้อความระบุว่า
ผู้ใช้เฟซบุ๊กได้ระบุ เรื่องราวการอยาก "ลดน้ำหนัก" ของหญิงรายดังกล่าวเพิ่มเติมว่า "ผู้ป่วยเป็นสาวจีน ให้ประวัติว่า 1 ปีก่อน ผู้ป่วยมีน้ำหนัก 150 กก. กังวลเรื่องน้ำหนักมาก อ่านพบข้อมูลออนไลน์ ว่า การกินไข่ พยาธิตืดวัว สามารถทำให้น้ำหนักตัวลดลงได้ ผู้ป่วยจึงสั่งซื้อ T. Saginata Eggs ในรูปแคปซูล และกินไป 2 แคปซูลเมื่อ 10 เดือนก่อน น้ำหนักลดไป 27 กก. ใน 4 เดือนต่อมา อย่างไรก็ตาม ผู้ป่วยยังคงกังวลเรื่องน้ำหนักตัว จึงกินไปอีก 1 แคปซูล เมื่อ 6 เดือนก่อน"
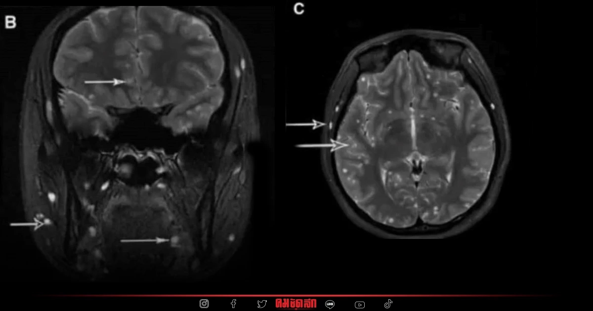
หมอแล๊บแพนด้า ยังระบุเพิ่มเติมเรื่องราวของผู้ที่อยาก "ลดน้ำหนัก" ว่า ผู้ป่วยคนนึงอยากผอม ก็เลยไปเอาไข่ พยาธิตืดวัว (Taenia saginata) มากิน ซึ่งอย่าไปเลียนแบบเด็ดขาดนะครับ การกินไข่พยาธิตัวตืด ถือว่าอันตรายมากๆ ถ้าเรากิน ไข่พยาธิตัวตืด ไข่พยาธิมันจะค่อยๆโตเป็นระยะตัวอ่อนเม็ดสาคูแทรกอยู่ในร่างกายคนตามอวัยวะต่างๆ เช่น สมอง ตา หัวใจ ปอด และกล้ามเนื้อ ซึ่งตัวอ่อนเม็ดสาคูในร่างกายเราจะเรียกว่า ซิสติเซอร์โคซิส (cysticercosis) ถ้ามันไปอยู่ในอวัยวะที่สำคัญๆ เช่น ในสมองและไขสันหลัง จะเรียกว่า (neurocysticercosis) หรือถ้าเข้าตาก็อาจตาบอดได้ (ocular cysticercosis) บางรายก็ถึงตายได้เลยนะครับ "อย่าหาทำ"
ติดตาม คมชัดลึก ที่นี่
Facebook : https://www.facebook.com/komchadluek/
YouTube : https://www.youtube.com/channel/UCnniqWGq9lOqYd5sGWxVi7w
เช็กรายชื่อศิลปินเข้าชิง "คมชัดลึก ลูกทุ่ง Awards 2565" ใครคือ 6 Candidate กับ 8 สาขา Popular Vote ได้ที่นี่



